• 康贝佳首页
  • 欢迎来到康贝佳官方网站,专注口腔健康,笑出精彩人生!咨询热线:400-025-0505
  • 关于我们:

当前位置: 首页 > 补牙

补牙

Dental implants

咨询电话:
400-025-0505

QQ咨询 在线咨询
补牙用什么材料
来源:康贝佳口腔 发布时间:2019-04-15 15:52
  牙齿出现了轻度的缺损,这个时候我们就要及时的补牙,但很多人对补牙的材料了解的并不是很清楚,“稀里糊涂”就上医院补牙了。其实,补牙 的材料有很多种,每一种材料在性能和优缺点上都有比较大的差异,所以患者 在选择材料的时候一定要选择适合自己的材料,这样效果会跟好。那 么补牙到底用什么材料呢?下面有请康贝佳口腔的医生来跟大家科普一下吧。
 
补牙用什么材料
 
  补牙用什么材料?
 
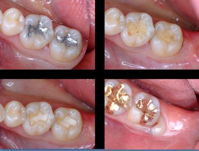
  康贝佳口腔医生指出,目前临床常用的补牙材料大致分为三类:银汞合金、玻璃离子水门汀和复合树脂,每种材料都有其优缺点。硬要说哪种材料 最好,复合树脂相对而言还是最好的补牙材料,特别近年来复合树脂不断得到改进,其硬度、耐磨性、生物相容性和美学性能大幅提升,已经有打 败前两种充填材料的趋势。
 
  复合树脂,以丙烯酸树脂为基础,加入玻璃、石英等微粒以强化性能,是目前补牙最常用的材料。复合树脂颜色和牙齿一样,很逼真、美观;和牙 齿组织有粘接性,磨牙的量比较少;有专门用于后牙充填的树脂,既美观也结实,完全可以代替银汞材料。缺点是极少部分人会对树脂材料过敏, 需要改用其他材料。此外复合树脂充填,对于医生操作技术也要求较高。
 
  玻璃离子水门汀是一种比较常见的补牙材料。玻璃离子水门汀是由玻璃粉与聚丙烯酸反应,生成含离子键的聚合体。由于能够释放氟离子,能够一 定程度上预防龋齿发生;较银汞合金有一定的化学粘结性;对牙髓刺激性小。但其外观和硬度不如复合树脂,因此目前多用于儿童龋齿的充填和牙冠 等修复体的粘固。
 
  银汞合金也是一种比较常见的补牙材料,已经使用了上百年,很耐磨,用在后牙也是很牢靠的补牙材料,可以放心使用。但其缺点是颜色不美观, 不能补前牙;没有粘接性,磨牙量大;金属导热,容易刺激牙髓;操作过程中担心银汞蒸汽对人体和对环境存在污染可能,现在已经不鼓励使用。
 
  补牙的材料还有很多种,本文就不一一介绍了,具体的还请大家咨询康贝佳口腔医生,还有注意本文在介绍的材料排列没有前后顺序,并不是说先 复合树脂就说明复合树脂比银汞合金要好,一切都要根据顾客的口腔情况和自己的选择来决定,想要补牙效果,材料就必须选的好,如何才能选得 好呢?当然适合自己的才是最好的。